Orthodontic Laboratory
Go to content
Main menu
Home Page
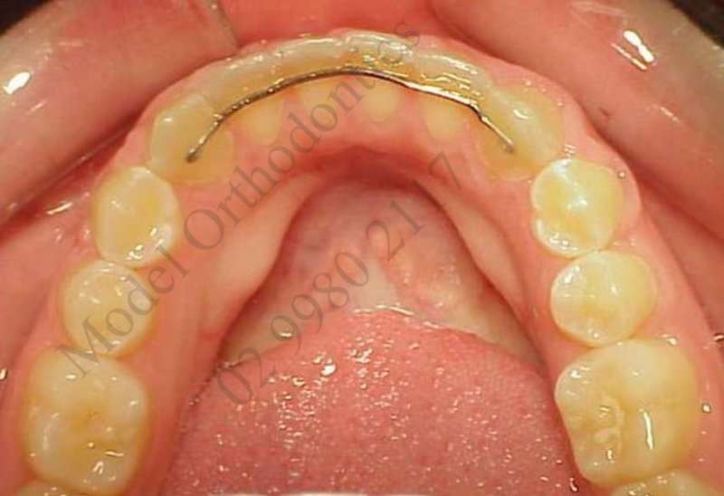
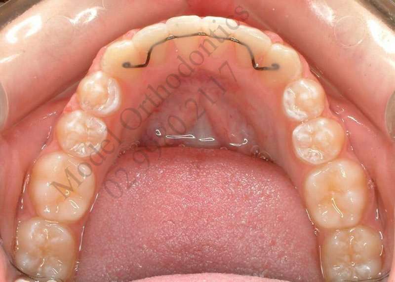
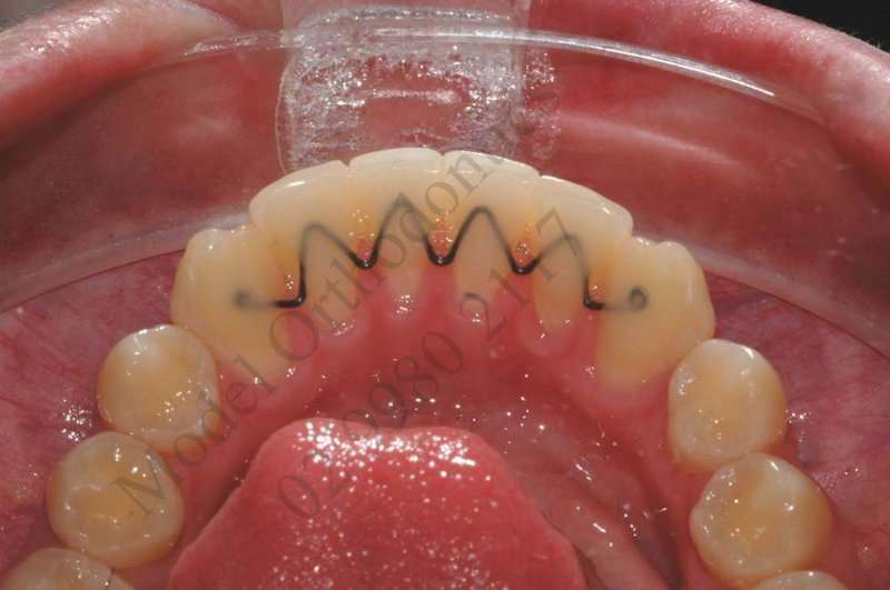
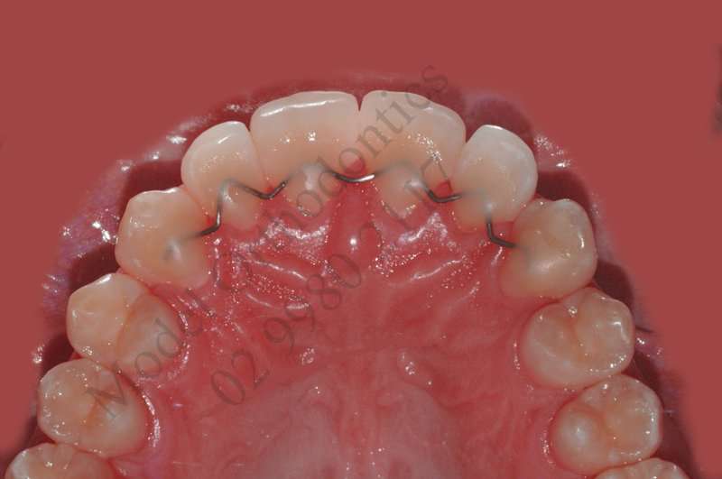
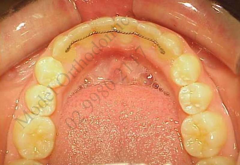
Fixed Linguals
Study Models
Grade A,B,C
Diagnostic Models
Appliances
Mouthguards
Our Mouthguards
Manufacturing mouthguards
Pressure formed vs Vacuum formed
Mouthguard Specials
Cleaning Suggestions
Colour Selection
About Us
Contact Us
Print Schedule H Form
Location Map
Fixed Linguals
Home Page
|
Fixed Linguals
|
Study Models
|
Appliances
|
Mouthguards
|
About Us
|
Contact Us
|
Print Schedule H Form
|
Location Map
|
General Site Map
Animated Flag Images
Privacy Policy
Back to content
|
Back to main menu